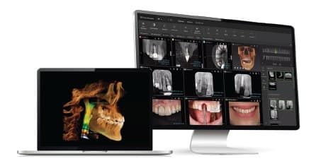
AI-powered platform unites 2D/3D imaging, intraoral scanning, diagnostics, and treatment planning into streamlined workflow
Dr. Mehranfar is a dental implantologist with over 17 years of experience, having placed more than 20,000 implants and completed over 2,500 All-on-4 treatments. Known for his expertise in full-arch implant procedures and digital workflows, he is recognized as a leader in the field. He earned his DMD from Temple University School of Dentistry after completing master’s degrees in microbiology and environmental science at Southern Illinois University. A Diplomate of the American Board of Implantology/Implant Dentistry, he has held key positions, including Director of Dental Implant Education at the Brighterway Clinic in Phoenix, as well as Clinical Director at Dental Hearts, a nonprofi t providing affordable implants to veterans and underserved communities. As cofounder of the Implant Education Company, Dr. Mehranfar teaches dentists live implant surgery, emphasizing digital workflows for optimal outcomes.
When patients leave Dr. Joe Mehranfar’s practice with same-day teeth, they feel like they’ve glided through a highly coordinated dental experience. But that effi ciency is no accident, thanks to the DEXIS digital ecosystem working continuously behind the scenes. Here, Dr. Mehranfar shares how this complete suite of tools and software—the ORTHOPANTOMOGRAPH OP 3DLX, DTX Studio Clinic, and Imprevo intraoral scanner—allows his team to seamlessly deliver full arches and confi dent smiles.






