DEXIS’s AI-powered imaging platform—including the DEXIS ORTHOPANTOMOGRAPH OP 3D and DTX Studio Clinic software—delivers insights that drive clinical efficiency
Jeff Brockett, DDS, could immediately hear something unusual in his patient’s voice—a telltale sign of nasal obstruction. After taking a scan with his DEXIS OP 3D, an onscreen review in the DTX Studio Clinic software soon revealed the culprit.
“We could see a mass extending from the patient’s mid-nasal cavity into the nasopharynx,” he shared. What began as a consultation for an oral appliance became a critical referral to an ENT surgeon, thanks to a diagnostic discovery made possible by DEXIS CBCT.
AI-Driven Efficiency & Engagement
For Dr. Brockett, an oral and maxillofacial radiologist, the DEXIS OP 3D presents a standout solution.
“Compared to other systems I’ve used, the OP 3D has a small voxel size, which, in a scan, helps capture finer details and precise images," said Dr. Brockett, who maintains a practice limited to dental sleep medicine in San Diego, CA. This precision helps pinpoint problem areas for applications ranging from airway and TMJ therapy to endodontics.
“Because you can limit the FOV to the region you’re treating, it’s better for the patient, saves time, and offers the added benefit of an amazing spatial resolution you don't get from other units," he said.
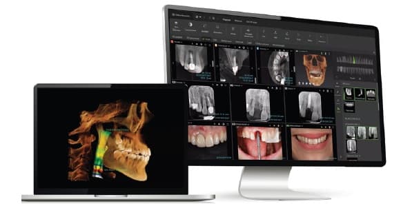
Within DTX Studio Clinic, DEXIS OP 3D users can aggregate and analyze all their 2D and 3D images in a single, cloud-based platform. Like many radiologists, however, Dr. Brockett was initially wary of the software’s AI integration.
“We’re all worried that soon, a robot is going to be doing what we do,” he said. But to his surprise, the reality of AI defied his expectations, especially the AI-powered MagicAssist feature, which automatically recognizes tooth positions. “I did the math and realized that MagicAssist saves me 10 minutes of busy work per case,” he continued. “Extrapolate that over 20 scans, and that's a lot of time—you could be twice as productive on certain days.”
DTX Studio Clinic also has proved invaluable for patient engagement. Take the AirSpace feature, for example, which automatically identifies airways and displays findings with easy-to-understand visual indicators. “There's no better patient communication tool,” Dr. Brockett said. “It provides a perfect explanation of anatomy and seamlessly dovetails into presenting my treatment plan.”
See More, Treat More
DTX Studio Clinic makes it easy for doctors to understand what they see, and if they need additional assistance, DEXIS's partnership with BeamReaders connects them with board-certified radiologists like Dr. Brockett, who are available to interpret findings.
In any case, Dr. Brockett said dentists shouldn’t hesitate to embrace technology like the DEXIS OP 3D.
“Other than our hands, radiology is the best diagnostic tool we have,” he said. “With CBCT, you're going to be able to treat so much more because you can see so much more.”





