
WHY I USE…
OMNICHROMA
Groundbreaking universal composite comes in just one 'shade' that matches natural dentition in all direct restorations.
Formulated to color-match surrounding dentition of any shade, OMNICHROMA was developed by Tokuyama Dental in response to feedback from practitioners throughout the dental community. In addition to its innovative Smart Chromatic Technology that uses a precise filler shape and size to produce the effects of structural color and match surrounding tooth structure, OMNICHROMA is based on the same chemistry as Estelite Sigma Quick, imparting ideal handling, polishability, strength, wear resistance, and durability.
Known as a dental nerd to my team and patients, I put OMNICHROMA to some rigorous "testing" in my practice before trying it out on my patients. I was initially skeptical of its universal matching claims, assuming it would turn out to be gray from over-translucency, like other composites that have come with similar assertions.
Passes the Test
I practiced with OMNICHROMA on extracted teeth that I keep in the office for trying out new materials and instruments before using them on live patients. In its uncured state, OMNICHROMA looked opaque white. Once cured, it somehow transformed and its optical properties absorbed the surrounding tooth color. In short, my initial reaction was disbelief. It's as though it had magic pixie dust in its chemistry!
Success from Dark to Bleach
I was still skeptical, however. The extracted teeth were all in the shade range of A1 to A3, so I didn't know if it would work on lighter or darker shades. My first attempts to use it on patients were for small Class I and II restorations with the same shade range of A1 to A3—and just like on the practice teeth, it blended in perfectly.
I then had the opportunity to try OMNICHROMA on elderly patients with darker teeth in the A4+ and D4+ range. On the small-to-medium posterior restorations, it was perfect. On the larger Class II and III fillings, it was still very close, but the slight difference was only because there was minimal natural tooth structure that could provide the color absorption and the old silver fillings had darkened the pulpal floor. On average-to-even-lighter teeth, the larger fillings still turn out amazing. It even disappears on crazy bleach white teeth!
Multidimensional Simplicity
I am very picky about the esthetics of my direct restorations—both anterior and posterior. I feel confident in OMNICHROMA's color-matching ability in a wide range of clinical situations. My favorite is on Class Vs, both mid-facial and along the gingival. I frequently see new patients with bucco-gingival fillings that are too light or too dark, or have a weird grayness in them. OMNICHROMA literally blends in perfectly. Even if it extends from gingival to mid-facial, and if there is a natural color transition from A3.5 gingival to A2 mid-facial, OMNICHROMA will reflect that natural color transition. It is quite amazing to behold.
I once repaired a small incisal chip that didn't require an opaque shade to block out a fracture line. OMNICHROMA worked beautifully. Then, I started using it on post-orthodontic space discrepancy cases, such as peg lateral incisors or diastema closures. Again, OMNICHROMA worked perfectly, requiring no opaque layer to block out hard lines.
Because I typically use a polychromatic layering technique on anterior direct composites, I can layer the OMNICHROMA to just shy of the final facial contour and cure. I then use stained resins—white, blue, and tan, for example—to add any incisal characterization needed to match the rest of the anterior segment. Finally, I cover it with a thin top layer of OMNICHROMA to the final contour. This technique has worked very well on the cases I chose to try it on.
Eliminate the Interference
For Class IV fractures or for any case where you're adding a significant amount of unsupported OMNICHROMA, Tokuyama Dental developed OMNICHROMA BLOCKER. It's intended to reduce intraoral shade-matching interferences created by other parts of the mouth. I have been practicing this approach on extracted incisors and am getting surprisingly great results. To produce internal characterization effects, I use colored resins to mimic the polychromatic layering technique I previously mentioned.
Saving Time and Money
We are practicing dentistry in a challenging time, with insurance reimbursements continually tumbling and overhead costs rising almost daily. To have the ability to stock one shade of composite for the majority of cases removes a huge burden. OMNICHROMA helps my practice reduce overhead costs, and my assistants love the decreased time and stress of tracking and stocking 20-plus shades of other composites.
I document much of my dentistry with photography. When I share patients' before-and-after pictures showing how OMNICHROMA changes from opaque white to a perfect color match, they are all amazed. OMNICHROMA is a great practice booster—patients leave feeling like they are getting the latest and greatest treatment.
Passes the Test
I practiced with OMNICHROMA on extracted teeth that I keep in the office for trying out new materials and instruments before using them on live patients. In its uncured state, OMNICHROMA looked opaque white. Once cured, it somehow transformed and its optical properties absorbed the surrounding tooth color. In short, my initial reaction was disbelief. It's as though it had magic pixie dust in its chemistry!
Success from Dark to Bleach
I was still skeptical, however. The extracted teeth were all in the shade range of A1 to A3, so I didn't know if it would work on lighter or darker shades. My first attempts to use it on patients were for small Class I and II restorations with the same shade range of A1 to A3—and just like on the practice teeth, it blended in perfectly.
I then had the opportunity to try OMNICHROMA on elderly patients with darker teeth in the A4+ and D4+ range. On the small-to-medium posterior restorations, it was perfect. On the larger Class II and III fillings, it was still very close, but the slight difference was only because there was minimal natural tooth structure that could provide the color absorption and the old silver fillings had darkened the pulpal floor. On average-to-even-lighter teeth, the larger fillings still turn out amazing. It even disappears on crazy bleach white teeth!
Multidimensional Simplicity
I am very picky about the esthetics of my direct restorations—both anterior and posterior. I feel confident in OMNICHROMA's color-matching ability in a wide range of clinical situations. My favorite is on Class Vs, both mid-facial and along the gingival. I frequently see new patients with bucco-gingival fillings that are too light or too dark, or have a weird grayness in them. OMNICHROMA literally blends in perfectly. Even if it extends from gingival to mid-facial, and if there is a natural color transition from A3.5 gingival to A2 mid-facial, OMNICHROMA will reflect that natural color transition. It is quite amazing to behold.
I once repaired a small incisal chip that didn't require an opaque shade to block out a fracture line. OMNICHROMA worked beautifully. Then, I started using it on post-orthodontic space discrepancy cases, such as peg lateral incisors or diastema closures. Again, OMNICHROMA worked perfectly, requiring no opaque layer to block out hard lines.
Because I typically use a polychromatic layering technique on anterior direct composites, I can layer the OMNICHROMA to just shy of the final facial contour and cure. I then use stained resins—white, blue, and tan, for example—to add any incisal characterization needed to match the rest of the anterior segment. Finally, I cover it with a thin top layer of OMNICHROMA to the final contour. This technique has worked very well on the cases I chose to try it on.
Eliminate the Interference
For Class IV fractures or for any case where you're adding a significant amount of unsupported OMNICHROMA, Tokuyama Dental developed OMNICHROMA BLOCKER. It's intended to reduce intraoral shade-matching interferences created by other parts of the mouth. I have been practicing this approach on extracted incisors and am getting surprisingly great results. To produce internal characterization effects, I use colored resins to mimic the polychromatic layering technique I previously mentioned.
Saving Time and Money
We are practicing dentistry in a challenging time, with insurance reimbursements continually tumbling and overhead costs rising almost daily. To have the ability to stock one shade of composite for the majority of cases removes a huge burden. OMNICHROMA helps my practice reduce overhead costs, and my assistants love the decreased time and stress of tracking and stocking 20-plus shades of other composites.
I document much of my dentistry with photography. When I share patients' before-and-after pictures showing how OMNICHROMA changes from opaque white to a perfect color match, they are all amazed. OMNICHROMA is a great practice booster—patients leave feeling like they are getting the latest and greatest treatment.






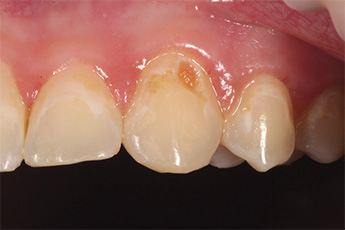
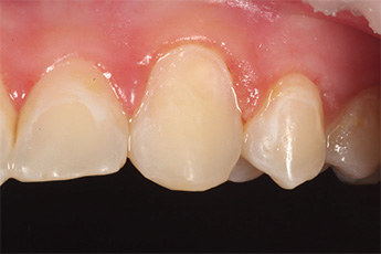
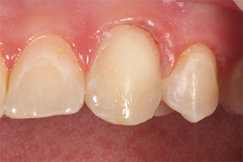
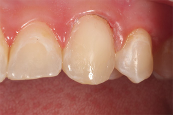
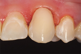
OMNICHROMA IN ACTION
In this series of photos, Dr. Kevin Brown documents a Class V restoration on No. 11. The fi llings, according to Dr. Brown, are a great example of how OMNICHROMA changes color when set and how well it blends—reflecting the natural color transition.
In this series of photos, Dr. Kevin Brown documents a Class V restoration on No. 11. The fi llings, according to Dr. Brown, are a great example of how OMNICHROMA changes color when set and how well it blends—reflecting the natural color transition.

KEVIN BROWN, DDS
Dr. Brown graduated in 2006 with recognition in esthetic/restorative dentistry and has since been in private practice in Seattle, WA. He enjoys keeping up on the most advanced materials and techniques through continuing education. Dr. Brown is recognized for his conservative approach to cosmetic and restorative dentistry. His work has been published in numerous dental journals and featured on the front cover of the prestigious Journal of Cosmetic Dentistry many times. He is a member of the American Dental Association, Washington State Dental Association, an accredited member of the American Academy of Cosmetic Dentistry, Academy of Osseointegration, Seattle King County Dental Society, and the Greater Eastside Study Club.
Dr. Brown graduated in 2006 with recognition in esthetic/restorative dentistry and has since been in private practice in Seattle, WA. He enjoys keeping up on the most advanced materials and techniques through continuing education. Dr. Brown is recognized for his conservative approach to cosmetic and restorative dentistry. His work has been published in numerous dental journals and featured on the front cover of the prestigious Journal of Cosmetic Dentistry many times. He is a member of the American Dental Association, Washington State Dental Association, an accredited member of the American Academy of Cosmetic Dentistry, Academy of Osseointegration, Seattle King County Dental Society, and the Greater Eastside Study Club.